Recessed Lighting Installation Necrotizing Sialometaplasia Peh : Necrotizing Sialometaplasia Of Palate A Case Report - Necrotizing sialometaplasia (ns) is a benign disease showing inflammatory response which occurs in minor salivary glands mimicking a malignant lesion both clinically as well as histopathologically.

Recessed Lighting Installation Necrotizing Sialometaplasia Peh : Necrotizing Sialometaplasia Of Palate A Case Report - Necrotizing sialometaplasia (ns) is a benign disease showing inflammatory response which occurs in minor salivary glands mimicking a malignant lesion both clinically as well as histopathologically.. The british journal of radiology. Necrotizing sialometaplasia (ns) is a benign disease showing inflammatory response which occurs in minor salivary glands mimicking a malignant lesion both clinically as well as histopathologically. Ulceration acinar necrosis in early lesions followed by squamous metaplasia of the salivary ducts lobular architecture is preserved helpful clue mucin release with associated inflammatory response pseudoepitheliomatous epithelial hyperplasia. It may be misdiagnosed as carcinoma by the unwary. Depending on when and where the study was conducted, the figure ranges from 20 or 30 thousand upwards of 150 or 200 thousand.

It may be misdiagnosed as carcinoma by the unwary. It is due to a necrosis of minor salivary glands due to. The british journal of radiology. The histologic marker of necrotizing sialometaplasia is preservation of the smooth. In most cases of necrotizing sialometaplasia, the etiology is believed to be related to vascular ischemia.

Phys Rev St Accel Beams 11 030703 2008 Commissioning The Linac Coherent Light Source Injector
Phys Rev St Accel Beams 11 030703 2008 Commissioning The Linac Coherent Light Source Injector from journals.aps.org
The histologic marker of necrotizing sialometaplasia is preservation of the smooth. Necrotizing sialometaplasia (ns) is a nonneoplastic inflammatory condition of the salivary glands. Although the aetiopathogenesis of necrotizing sialometaplasia remains unknown there is general consensus that an ischaemic event. Recessed lighting on vaulted ceilings or sloped ceilings are a refined and classic accent in larger living spaces. Necrotizing sialometaplasia (ns) is a benign, ulcerative lesion, usually located towards the back of the hard palate. Necrotizing sialometaplasia is a reactive lesion of salivary gland origin. Light microscopic features of necrotizing sialometaplasia. Necrotizing sialometaplasia • uncommon locally destructive inflammatory condition of the salivary glands.

Histological findings usually show lobular necrosis and ductal and glandular metaplasia … medical dictionary.

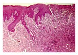
The preservation of normal lobular architecture of the salivary gland with pronounced and extensive squamous metaplasia of ducts and acini of the salivary glands. Farina d, gavazzi e, avigo c, borghesi a, maroldi r. Necrotizing sialometaplasia (ns) is a benign disease showing inflammatory response which occurs in minor salivary glands mimicking a malignant lesion both clinically as well as histopathologically. Necrotizing sialometaplasia resembles squamous cell carcinoma and/or mucoepidermoid carcinoma clinically and microscopically. Necrotizing sialometaplasia of parotid gland. We present a case of necrotizing. Although the aetiopathogenesis of necrotizing sialometaplasia remains unknown there is general consensus that an ischaemic event. Objectives the aim of this report was the clinical and histologic characterization of necrotizing sialometaplasia. Histological findings usually show lobular necrosis and ductal and glandular metaplasia … medical dictionary. Mri findings of necrotizing sialometaplasia. Necrotizing sialometaplasia (ns) is a benign, ulcerative lesion, usually located towards the back of the hard palate. It is thought to be caused by ischemic necrosis (death of tissue due to lack of blood supply) of minor. Snomed ct head or neck disease/disorder.

Unknown but they believe it is the result of ischemia of the salivary tissue that leads to local infaction. Recessed lighting on vaulted ceilings or sloped ceilings are a refined and classic accent in larger living spaces. Necrotizing sialometaplasia resembles squamous cell carcinoma and/or mucoepidermoid carcinoma clinically and microscopically. Objectives the aim of this report was the clinical and histologic characterization of necrotizing sialometaplasia. We present a case of necrotizing.

Pdf Oc 0178 Demonstration Of Catheter Insertion Using Electromagnetic Guidance In Breast Brachytherapy
Pdf Oc 0178 Demonstration Of Catheter Insertion Using Electromagnetic Guidance In Breast Brachytherapy from c5.rgstatic.net
Necrotizing sialometaplasia (ns) is a benign, ulcerative lesion, usually located towards the back of the hard palate. Objectives the aim of this report was the clinical and histologic characterization of necrotizing sialometaplasia. Studies have reached widely varying conclusions. Although the aetiopathogenesis of necrotizing sialometaplasia remains unknown there is general consensus that an ischaemic event. It can represent a diagnostic dilemma and may be mistaken for a malignant neoplasm, such as mucoepidermoid carcinoma. Necrotizing sialometaplasia of parotid gland. Upgrade old kitchen lighting to recessed led lights. Ameya bihani1, jaini lodha2, arpit sharma3, nitish virmani4, jyoti p dabholkar5.

Eventually an ulcer forms within the enlargement.

It is thought to be caused by ischemic necrosis (death of tissue due to lack of blood supply) of minor salivary glands in response to trauma. Snomed ct head or neck disease/disorder. Read more about symptoms, diagnosis, treatment, complications, causes and prognosis. Necrotizing sialometaplasia (ns) is a benign disease showing inflammatory response which occurs in minor salivary glands mimicking a malignant lesion both clinically as well as histopathologically. Necrotizing sialometaplasia (ns) is a benign, ulcerative lesion, usually located towards the back of the hard palate. It is thought to be caused by ischemic necrosis (death of tissue due to lack of blood supply) of minor salivary glands in response to trauma. The lesion occurs due to vascular ischemia caused by trauma. Farina d, gavazzi e, avigo c, borghesi a, maroldi r. Histological findings usually show lobular necrosis and ductal and glandular metaplasia … medical dictionary. Necrotizing sialometaplasia is a reactive lesion of salivary gland origin. Ameya bihani1, jaini lodha2, arpit sharma3, nitish virmani4, jyoti p dabholkar5. There's a bit of disagreement over just how many words are in the average english speaker's vocabulary. Unknown but they believe it is the result of ischemia of the salivary tissue that leads to local infaction.

Farina d, gavazzi e, avigo c, borghesi a, maroldi r. It is thought to be caused by ischemic necrosis (death of tissue due to lack of blood supply) of minor. Necrotizing sialometaplasia is a reactive lesion of salivary gland origin. Necrotizing sialometaplasia (ns) is a benign, ulcerative lesion, usually located towards the back of the hard palate. Necrotizing sialometaplasia — a benign inflammatory condition of the minor salivary glands, simulating mucoepidermoid and squamous cell carcinoma.

Pdf New Design Of Ferroelectric Solar Cell Combined With Luminescent Solar Concentrator
Pdf New Design Of Ferroelectric Solar Cell Combined With Luminescent Solar Concentrator from i1.rgstatic.net
Necrotizing sialometaplasia is a reactive lesion of salivary gland origin. It is thought to be caused by ischemic necrosis (death of tissue due to lack of blood supply) of minor salivary glands in response to trauma. Necrotizing sialometaplasia (ns) is a benign, ulcerative lesion, usually located towards the back of the hard palate. It is thought to be caused by ischemic necrosis (death of tissue due to lack of blood supply) of minor salivary glands in response to trauma. It can represent a diagnostic dilemma and may be mistaken for a malignant neoplasm, such as mucoepidermoid carcinoma. Cut the hole with a drywall saw and mark all the. The histologic marker of necrotizing sialometaplasia is preservation of the smooth. Necrotizing sialometaplasia resembles squamous cell carcinoma and/or mucoepidermoid carcinoma clinically and microscopically.

Necrotizing sialometaplasia • uncommon locally destructive inflammatory condition of the salivary glands.

It may be misdiagnosed as carcinoma by the unwary. The lesion occurs due to vascular ischemia caused by trauma. Necrotizing sialometaplasia of parotid gland. Necrotizing sialometaplasia — a benign inflammatory condition of the minor salivary glands, simulating mucoepidermoid and squamous cell carcinoma. In most cases of necrotizing sialometaplasia, the etiology is believed to be related to vascular ischemia. Necrotizing sialometaplasia is a reactive lesion of salivary gland origin. The histologic marker of necrotizing sialometaplasia is preservation of the smooth. We present a case of necrotizing. Depending on when and where the study was conducted, the figure ranges from 20 or 30 thousand upwards of 150 or 200 thousand. Studies have reached widely varying conclusions. Necrotizing sialometaplasia (ns) is a benign, ulcerative lesion, usually located towards the back of the hard palate. We report a case of necrotizing sialometaplasia diagnosed after superficial parotidectomy due to bilateral parotid masses in a. Light microscopic features of necrotizing sialometaplasia.